初診のながれ
初診でお越しいただく患者様の治療の流れを説明させていただきます。
初診でお越しいただく患者様の治療の流れを説明させていただきます。
当院では、美しく長持ちする治療を目指して検査・診断の段階から最終的な治療のゴールを見据えて治療計画を立てていきます。応急処置や部分的な治療をご希望の患者様は遠慮なくお申し付けください。よろしくお願い申し上げます。
①問診表の記載
問診表には出来る限りで結構ですので正確な情報をご記入ください。
アレルギーや全身的な健康状態の把握は歯科治療において非常に重要です。必ずご記載ください。
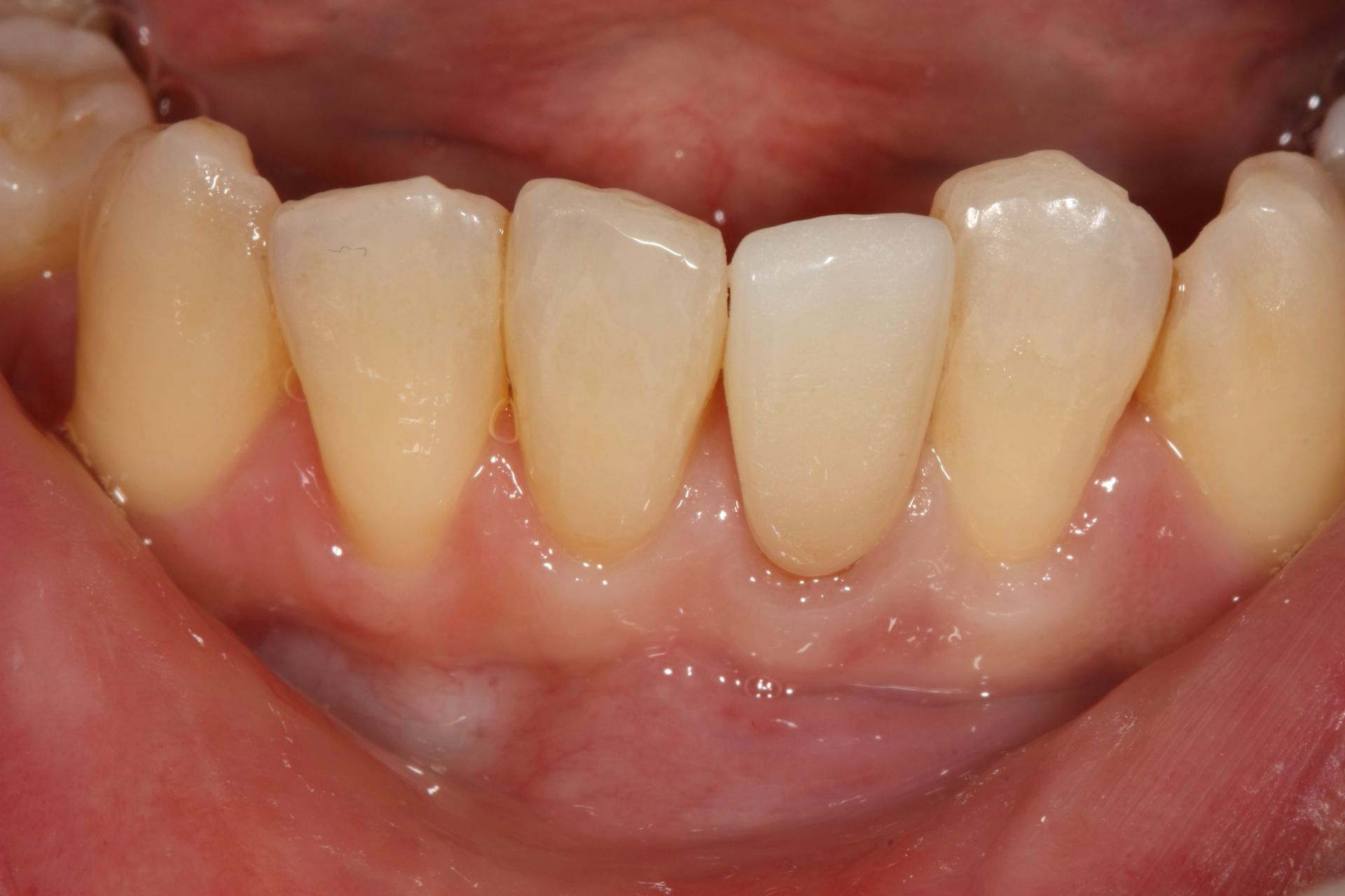
②検査(口腔内検査、レントゲン、口腔内写真撮影)
患者様の現在のお口の状態を把握、記録するために必要な検査を行っていきます。歯ぐきの検査、かみ合わせ、お口の中を小さい高性能カメラで撮影・保存、レントゲン撮影を行います。必要があればCT撮影も行います。
③カウンセリング
十分な情報を把握した状態で患者様に必要な治療についてメリット・デメリットや費用・期間、治療後のメインテナンスの必要性などについて説明させていただきます。ご質問などございましたらお気軽にお尋ねください。
④治療開始
患者様のご理解・ご納得が得られた状態で治療を開始する日程を決めていきます。患者様のご都合がよろしければ当日スタートすることも可能です。
<費用について>
初診時の費用は保険適用で4000円~5000円ほどかかります。


